前歯のインプラントは、見た目(審美性)が非常に大切です。
当院は、前歯のインプラント埋入実績10,000本以上と豊富なので、噛み合わせを整えながら、審美性に配慮した治療が可能です。

前歯はとても目立つ箇所なので、噛み合わせなどの機能面はもちろん、
治療後の見た目(審美性)も重要になってきます。

インプラントは、骨の中に埋め込む深さが足りなかったり、手術の際の歯ぐきのコントロールが上手くできなかった事が原因で、歯ぐきとのすき間が黒ずんだりしてしまいます。

このように、審美性の優れたインプラントをする為には、前歯のインプラントの実績が多い歯科医院を選ぶことが大切です。
前歯部分は、他の箇所に比べ骨が少ない、もしくは歯ぐきが薄かったりします。前歯を抜歯してから日数が経過していない場合は、骨もあまり減っていませんし、歯肉の状態も悪くありませんので、良い状態のうちに治療する事が重要になります。
前歯付近の骨がやせている場合や、歯ぐきの厚みが減っている場合は、骨を増やす処置(骨再生誘導法など)や、歯ぐきの移植で補ったり、2次手術の時に特別な処置を行ったりします。

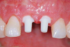
インプラントと上部構造を繋げる土台には、金属やセラミックなどの種類があります。

▲金属の土台

▲セラミックの土台
インプラントの土台は、本体と被せ物をつなぐ重要な部分です。
この土台は歯ぐきを貫通するため、歯ぐきの色を通して見えることがあります。また、加齢などで歯ぐきが下がると、外から土台が露出してしまうこともあります。
金属製の土台では透けて見えることがありますが、セラミック製にすることで自然な歯ぐきの色に馴染み、万が一露出しても白く目立ちません。費用はやや高くなりますが、審美性を重視する前歯のインプラントでは、金属を使わないメタルフリーの土台が推奨されます。
歯を失った場合の治療法で代表的な治療は「ブリッジ」と「インプラント」です。それぞれにメリット・デメリットがあるで、それぞれの特性を理解して選択する事が大切です。
| 前歯のブリッジ | 前歯のインプラント |
|---|---|
![]() |
![]() |
| ・インプラント手術ができない方 ・費用をかけたくない方 ・手術をしたくない方 |
・歯を削りたくない方 ・自分の歯を長持ちさせたい方 ・見た目をキレイにしたい方 |
保険適用のブリッジは費用が安く見えますが、プラスチック製のため変色しやすく、歯垢も付きやすくなり、虫歯や歯周病のリスクが高まります。一方、セラミック製のブリッジは費用が高くなりますが、インプラントとほぼ同程度です。
見た目や耐久性、口腔全体の健康を考えると、費用は掛かりますが、前歯にはインプラントがおすすめです。
前歯のインプラントでは、手術後すぐに仮歯を入れるのが基本です。これは、前歯がない状態では見た目や会話、笑顔に影響が出るため、審美性を保つ目的があります。例え装着が難しいケースでも、患者さんの状態に合わせて仮歯を作り、両端の歯に接着するなど工夫しながらしっかり固定します。
本番の人工歯が入るまでには手術後3~4か月かかりますが、その間も見た目を整えられるので、安心して過ごしていただけます。

奥歯の場合
奥歯の場合は、ケースバイケースではありますが、仮歯を入れる場合と入れない場合があります。奥歯は噛む時に負荷がかかって、骨とインプラントの結合が妨げられる可能性があるので、仮歯は入れないケースもあります。
インプラントの無料初診相談
インプラント治療を検討されている方、ブリッジとインプラントで悩んでいるという方に、初回のインプラント無料相談を実施しています。インプラントに関するご不明点や費用・治療期間などを分かりやすくご案内しています。
内容をお聞きなった上で治療するかどうか検討していただけますのでご安心ください。ご予約時には「インプラント無料相談希望」とお伝えください。

