すべての歯を失った方や、総入れ歯が痛い・合わないと、
お悩みの方におすすめの治療法です。

すべての歯を失った、総入れ歯が合わずにお悩みの方へ、従来は8~14本のインプラントが必要でしたが、オールオン4なら最小4本のインプラントで12本の噛める歯をしっかり支えられます。
骨の硬い部分を正確に狙い、角度や力を調整してインプラントを埋入。器具の長さや太さも最適化し、安定した咬合を実現します。オールオン4は高度な技術が必要なため、対応できる歯科医師や医院は限られています。

オールオン4とはたった4本のインプラントで12本の歯を保持する方法です。全ての歯を失ってしまった方、総入れ歯の方に行う治療法です。抜歯からインプラントの埋入、仮歯を入れるまでが1日でできます。

通常のインプラント治療は、部分的な歯の欠損を補う治療法が一般的です。顎の骨にインプラントを埋入し、骨としっかり結合するのを待って上部構造(被せ物)を装着します。オールオン4はこの治療法の応用編と言えるでしょう。
オールオン4と片顎または全顎すべてをインプラントで治療した場合の比較
| オールオン4 | インプラント | |
|---|---|---|
| イメージ図 | ![]() |
![]() |
| インプラントの本数 | 最少4本~ | 8本~14本 |
| 身体への負担 | 最少4本埋入のため、手術時の身体への負担は比較的少ない。 | 埋入本数が多いため、手術時間が長くなり、術後の腫れや痛みも大きい。 |
| 費用 | 複数本を埋入するのに比べて費用が抑えられる。 | 歯を失った本数が多いほど費用が高額になる。 |
歯がボロボロ、ほとんどの歯が無い
残っている歯が重度の虫歯や歯周病で大きく揺れている場合、無理に残しても十分に噛めないことがあります。そのようなケースでは、オールオン4によってインプラントで固定式の歯を再建でき、しっかり噛めるだけでなく、見た目の改善にもつながります。

総入れ歯が合わない、痛い、噛みにくい
総入れ歯をお使いの方で、「入れ歯が痛い」「えずいて気持ち悪くなる」「硬いものが噛みにくい」といったお悩みを抱えている方は少なくありません。こうした問題は日常生活の快適さに大きく影響します。
オールオン4は、インプラントでしっかりと固定されるため、入れ歯特有の不安定さや不快感が解消され、安心して会話や食事を楽しめるようになります。

顎の骨がやせてしまってる方
歯を失ってから長い年月が経つと、顎の骨が徐々に痩せてしまいます。また、長年総入れ歯を使用している場合も、骨の量が減ってしまうことがあります。骨が少なくなった方には、骨の状態に合わせて柔軟に対応できる治療法を選ぶことが重要です。
オールオン4は、残っている骨を最大限に活かしてインプラントを埋め込むため、骨が痩せてしまった方にも適している治療法といえます。

豊富なオールオン4の症例

オールオン4の症例900件以上(グループ医院全体)の豊富な実績があります。経験と知識が豊富な歯科医師チームが多角的な治療を提供しています。
痛みに配慮した治療

最大限痛みに配慮した治療を行います。静脈内鎮静を使用するケースが多く、患者さんが眠っている間に治療が終わったというケースも珍しくありません。
設備、技術が整っている

当院は、CTやシミュレーションガイド、骨移植、静脈内鎮静、全身麻酔などオールオン4に必要な最新設備と技術が充実している歯科医院です。
他院で断られた方でも対応

他院でオールオン4の治療が難しいと診断された方もご安心ください。CTで正確な検査・診断を行い、顎の骨を増やす技術などであらゆる症例に対応します。
オールオン4は、顎の骨にしっかり固定されたインプラントを土台とするため、従来の総入れ歯に比べて咬合力(噛む力)が大幅に向上します。これにより、おせんべいやお肉などの硬い食材も安心して噛むことができ、「食べる楽しみ」を再び取り戻す方が多くいらっしゃいます。
歯ぐきとのなじみや歯の形、色調まで細部にこだわった設計が可能で、自分の歯のように自然な見た目に仕上がります。当院では、専門の技工士と連携し、審美性に配慮した高品質な補綴物(人工歯)を製作しています。
オールオン4では、抜歯からインプラント埋入、仮歯の装着までを1日で行う技術を採用しています。そのため「治療中に歯がない期間が不安…」という方でも、手術当日から会話や食事が可能な仮歯が入るので、安心して日常生活を送ることができます。
オールオン4は入れ歯と異なり、接着剤や安定剤を使う必要がなく、歯が揺れたり食事中に外れたりする心配もありません。「会話中に外れるのが不安」「笑うときに気になる」といった日常のストレスを大幅に軽減できる点も、オールオン4の大きな特長です。
歯を失うと顎の骨は徐々にやせていきますが、インプラントは噛む力を骨に伝えるため、骨の吸収を抑える効果があります。オールオン4の臨床研究では、10年以上経過しても骨吸収が平均1.7mm未満に抑えられたという報告があり、長期的に骨の安定を維持できる治療法として期待されています。
オールオン4はインプラント治療の一種で、外科手術を伴う方法です。そのため、重度の全身疾患がある方などは適応できない場合があります。手術前にはCT撮影や血液検査などを行い、適応の可否をしっかりと確認してから治療を進めます。
基本的に、残っている歯はすべて抜歯したうえでインプラントを埋入します。歯の状態がとても悪く、虫歯や歯周病が原因で十分に機能していない場合、無理に残すよりも抜歯して固定式の歯を作った方が、結果的にしっかり噛めるケースが多くなります。
オールオン4は自由診療となるため、保険治療に比べて、患者さんの費用負担が大きくなります。しかし、必要なインプラント本数が少ない分、従来のフルインプラントよりかは、経済的に抑えられる場合があります。
オールオン4は、10年以上にわたる安定した臨床データがある治療法です。特に注目されるのは、インプラント埋入後の骨吸収が非常に少ない点です。
国際的な臨床研究では、オールオン4を受けた患者さんの骨吸収量は10年以上経過しても平均1.7mm未満と報告されており、従来の入れ歯やインプラント(フル)と比べても、長期的に骨を守る効果が高いことが分かります。
さらに、使用するインプラントは骨の硬い部分に角度をつけて正確に埋入する設計のため、力が適切に分散され、無理なく噛める環境が長く維持されます。

骨の弱い方や、骨が柔らかい方には、インプラント6本で歯を支えるオールオン6がお勧めです。
オールオン6とは、6本のインプラントで12本の歯を支える治療方法です。
この方法は、日本人のように顎の骨が比較的やわらかいケースで採用されることが多く、オールオン4との主な違いは、使用するインプラントの本数が4本か6本かという点にあります。
そのため、オールオン4を希望される患者さんでも、骨の状態によっては6本のインプラントで治療を行う方が、より安定して長く使用できる場合があります。

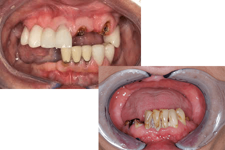
オールオン6・オールオン4の治療例
※症例紹介の費用は掲載時点の金額です。治療費用は改定される場合がありますので、最新の料金はお問い合わせください。





| 治療内容 | 上顎をオールオン6、下顎がオールオン4で治療しました。 |
|---|---|
| 費用 | <上顎>オールオン6 3,100,000円(税抜)、インプラント二次手術10,000円(税抜)、サージカルステント作製30,000円(税抜)、仮歯(プロビジョナルレストレーション) アバットメント無10,000円(税抜)×6・アバットメント有30,000円(税抜)×6 <下顎>オールオン4 2,700,000円(税抜)、サージカルステント作製30,000円(税抜)、仮歯(プロビジョナルレストレーション) アバットメント無10,000円(税抜)×8・アバットメント有30,000円(税抜)×4 CT撮影料10,000円(税抜) |
| リスク | インプラントは自由診療なので保険適用の治療と比べて治療費が高額になります。 インプラントが骨と定着するのを待つ期間が必要なので治療期間が長くなります。 手術後に腫れ・痛みが出ることがあります。 |
インプラントの無料初診相談
インプラント治療を検討されている方、インプラントで悩んでいるという方に、初回のインプラント無料相談を実施しています。インプラントに関するご不明点や費用・治療期間などを分かりやすくご案内しています。
内容をお聞きなった上で治療するかどうか検討していただけますのでご安心ください。ご予約時には「インプラント無料相談希望」とお伝えください。

オールオン4のよくある質問





